Ein Ultraschall bietet eine nebenwirkungsfreie Möglichkeit, bereits früh in der Schwangerschaft das ungeborene Kind zu sehen und seine Entwicklung zu beurteilen.
Die Feindiagnostik kann bei uns zwischen der 20. und 21. Schwangerschaftswoche durchgeführt werden.
Diese Untersuchung ist deutlich ausführlicher als der reguläre Ultraschall nach Mutterschaftsrichtlinien. Sie erfordert spezielle Geräte und langjährige Erfahrung des untersuchenden Arztes.
Die Dauer beträgt in der Regel 30 bis 40 Minuten, abhängig von der Lage des Kindes und der Beschaffenheit der Bauchdecke.
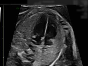
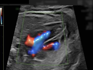
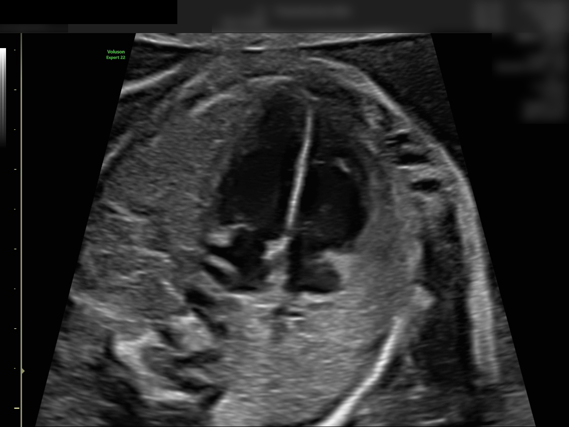
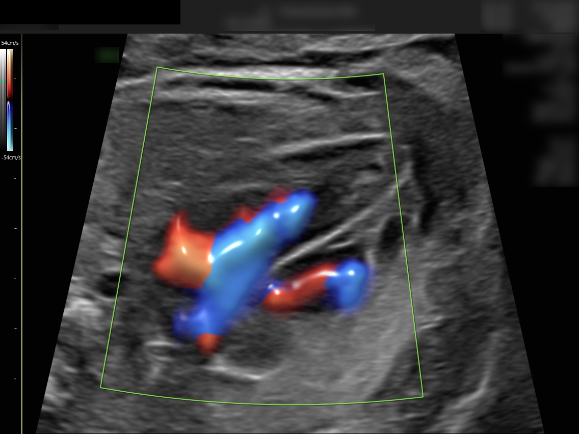
Mit der Feindiagnostik lassen sich alle sichtbaren Organe prüfen, das Herz und die Durchblutung in den Gebärmutterarterien kontrollieren. Ein Ultraschall kann jedoch nie alle körperlichen oder chromosomalen Auffälligkeiten ausschließen.
Ziel der Untersuchung ist vor allem, Risikoschwangerschaften gezielt zu begleiten oder nach Auffälligkeiten in der Vorsorge eine präzise Diagnose zu ermöglichen.
Bei Auffälligkeiten besprechen wir gemeinsam die nächsten Schritte, planen erforderliche Untersuchungen, Therapien oder die Geburt in enger Abstimmung mit Spezialisten und der Entbindungsklinik.
Ob eine Feindiagnostik medizinisch angezeigt ist, entscheidet Ihr betreuender Gynäkologe. Selbstverständlich kann die Untersuchung auch als Selbstzahlerleistung durchgeführt werden.








